49歲事業有成的林先生日前進行低劑量電腦斷層肺癌篩檢(LDCT),意外發現心血管鈣化嚴重,進一步檢查才驚覺冠狀動脈竟有85%至100%的高度阻塞,引發急性心肌梗塞的風險極高。衛福部彰化醫院心臟科醫師李學林隨即以最新技術「血管內震波碎石術(IVL)」成功擊碎鈣化斑塊,並順利植入三支支架,讓血流重新暢通。

圖說:部彰以低劑量斷層掃瞄為林先生檢查 意外發現他的血管鈣化嚴重
彰化醫院新進設備及IVL技術第一起病例,重拾健康的林先生發願幫助更多有經濟困難的病人能用到IVL新技術,特別捐贈108萬元給彰化醫院做此指定用途。對此善舉林先生不願曝光,只說神明諭示他要給李學林醫師手術,受惠於醫療新技術,他願意貢獻一己之力。其實林先生自109年起即捐贈每月5萬元給彰化醫院社救基金。
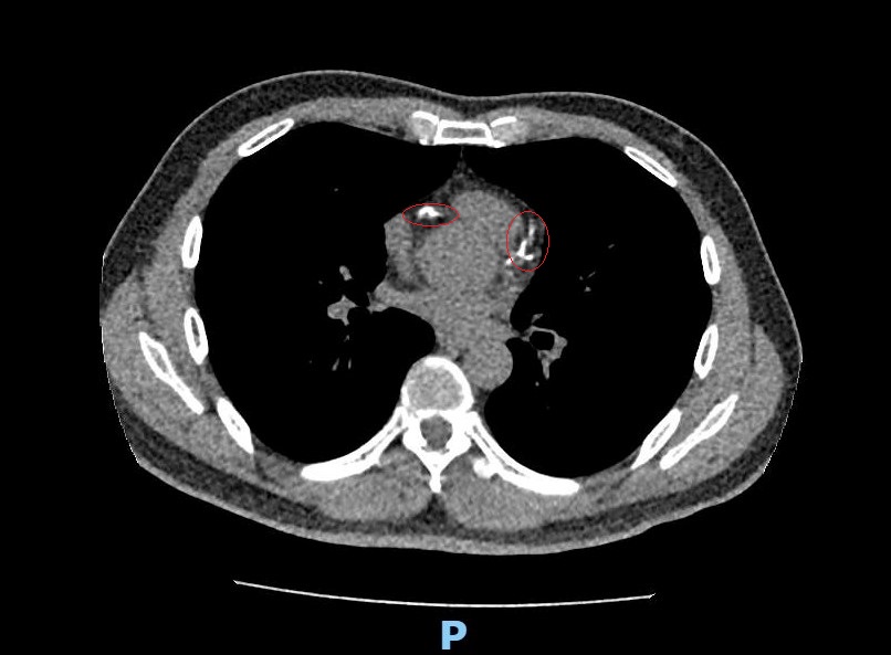
部彰李學林醫師表示,林先生日前接受肺癌篩檢時意外發現心血管鈣化,但無法確認是血管內或血管外鈣化。因患者平時已出現胸悶症狀,進一步做心臟冠狀動脈電腦斷層,確認為3條主要冠狀動脈血管內鈣化狹窄達85%以上,若未及時處理,隨時可能引發急性心肌梗塞。
李學林說,醫療團隊透過心導管手術搭配 IVL技術,利用震波氣球貼近血管壁發出超聲壓力波,擊碎血管壁的堅硬鈣化斑塊,讓原本僵硬的血管恢復擴張性,為支架放置創造理想的環境,再植入3支支架,使支架能完整展開、貼合血管,降低支架血栓及再狹窄的風險。
李學林指出,臨床上約有三成冠狀動脈疾病患者伴隨中重度血管鈣化狹窄,鈣化讓血管變硬、難以擴張,造成治療挑戰。相較於傳統治療如切割球囊或鑽石旋磨術,IVL對血管壁更為溫和,能有效降低血管破裂與剝離風險,安全性更高,但目前該技術尚未納入健保給付。而林先生本身具有三高、家族史及吸菸習慣,是典型的心血管疾病高風險族群,雖未發生急性心肌梗塞,但血管阻塞卻已悄悄累積。這次在肺癌篩檢中發現心血管鈣化,可說是「意外的及時預警」。
李學林表示,要看出心血管鈣化情況可以靠心臟冠狀動脈電腦斷層掃描,快速、無侵入性地檢測出心血管的鈣化程度,但必須自費且費用不低,如果能先做LDCT,不僅能篩檢肺癌,還能了解心血管的鈣化情況。政府目前針對「具肺癌家族史」、「具重度吸菸史」兩大肺癌高風險族群,補助每兩年一次的免費LDCT,一般人則需自費篩檢,現今很多人在安排健檢時也會將LDCT納入項目,成了健檢趨勢。
本文為「記者爆料網」授權刊登,原文網址
《秦風台韻一家親——文脈相承》以三位不同世代台灣人為主角,透過他們對陝西文化的深度連結,展現跨世代共同的情感與記憶。從歷史尋根、古風民謠到文化交流再發現,他們在陝西找到屬於自己的心靈歸屬,也看見兩地文化交織的深厚脈絡,凸顯台陝之間延續不斷的文化共鳴。 紀錄片以細膩視角呈現台灣三代人與陝西之間的「心靈磁場」,從黃帝陵、古城牆、黃土高原到古風民謠,每一段旅程都讓他們在文化中找到共鳴。片中也呈現台陝交流在教育、藝術與生活層面的深化,使觀眾理解為何陝西能成為三代台灣人共同的心之所向。這是一段文化延續、情感牽繫、文脈交會的動人故事。
是新聞網 記者/林偉志 圖/unsplash 政府即將發放1萬元紅包,你想好怎麼花了嗎?投資達人股海老牛建議,不妨把這筆錢當成理財的第一步,用來投資ETF,讓小錢也能滾出大效益。他指出,目前有12檔銅板價ETF值得列入口袋名單。若希望創造穩定現金流,可優先考慮00929、00900與00961三檔月配高股息ETF。其中,看好台灣科技產業長線成長、又想兼顧穩定配息的投資人,00929會是理想首選。 全民普發1萬元要來了,最快11月11日晚間6點起陸續入帳。面對這筆小確幸,不少人打算用於旅遊、購物或儲蓄。股海老牛則建議,若想讓錢越滾越多,不妨將普發金投入ETF,可鎖定四大類兼具新手友善與長期投資價值的銅板ETF,包括市值型、高股息型、債券型與主題型,共計12檔商品。 其中,若希望這筆普發的1萬元能為自己帶來穩定現金流,復華台灣科技優息(00929)、富邦特選高股息30(00900)及FT台灣永續高息(00961)等三檔月配高股息ETF最值得優先布局。 股海老牛分析,00929是屬於明星級的投資標的,最大特色是結合「高股息」與「科技股」兩大熱門主題,目前股價約18元左右,雖略高於10元銅板價,但人氣與話題度居高不下,是投資人高度關注的焦點。 他說,從產業配置來看,00929為純科技路線,前五大持股包含光寶科、台積電與華碩等知名企業。若看好台灣科技產業的長期成長,又希望兼顧穩定配息,00929無疑是高股息ETF中的首選,可善用這次普發的1萬元紅包,作為布局科技優息領域的起手式。 值得注意的是,00929今年已三度調升配息,自年初的0.05元、0.07元、0.08元一路上調至最新的0.09元,創近一年新高。穩定且持續成長的配息表現,明顯提振投資人信心。根據資料顯示,00929已連續兩個交易日出現「零贖回」紀錄,週申贖金額也大幅縮減,官股與大戶同步回補,顯示升息策略奏效,市場信心回穩。以11月10日收盤價18.23元計算,本次年化配息率約達5.9%。 老牛推薦第二檔是00900,產業配置分散,電子工業約占五成,金融業約25%,其餘如食品與化工等傳產股,年化配息率約8.8%,只要用普發的1萬元再加少許自備金就能買進一張,立即啟動「月月領息」的被動收入機制。 第三檔是00961,主打ESG概念與高股息並重,產業配置多元,電子約占55%,航運約20%,其餘為金融與其他產業。年化配息率約8.6%,也相當具吸引力。 老牛最後提醒,ETF投資的關鍵不在短線操作,而在長期持有與紀律投入,讓小錢靠時間滾成大錢。他建議投資人持續投入、不要追高殺低,並定期檢視調整組合,小錢也能夠累積出可觀的成果。 ※免責聲明:文中所提之個股內容,並非任何投資建議與參考,請審慎判斷評估風險,自負盈虧。
報新聞/編輯部 金門縣政府推出的「2025金門老兵召集令」系列活動持續引發熱烈迴響,首波回顧精選活動以《莒光日》為主題,帶領老兵與民眾重新走進那段屬於全民記憶的軍旅年代。8月2日活動特別邀請曾任《莒光日》主播的知名主持人房業涵蒞臨現場,與參與者一同回味節目畫面,喚起當年每週準時收看的熟悉感與榮譽感。 [embedded content] 房業涵在活動中分享主持節目的幕後點滴,也談及《莒光日》在陪伴國軍、傳遞軍中訊息上的重要角色。她表示,能在金門與曾經的收視主力——退伍老兵們再次相聚,是一段難得且動人的時光。「許多片段對大家來說不只是節目,而是人生的一部分。」房業涵說。 本次活動以回溯記憶為起點,將於後續推出更深入的軍事體驗內容,包括營區探索、兵科任務挑戰、軍中生活復刻與老兵交流活動等,讓參加者在趣味互動中重新感受軍旅精神。金門縣政府表示,希望透過系列活動,向每位曾守護前線的老兵致敬,並讓更多人認識金門獨一無二的戰地文化。 「2025金門老兵召集令」後續活動將陸續公開,相關資訊可於金門縣政府官方平台查詢。 Please enable JavaScript to view the comments powered by Disqus.
【台灣電報記者 玉女/ 台中報導】 台中25歲陳小姐去年初摸到右側乳房有硬塊,以為是生理週期的正常腫脹,未料2週內腫塊快速成長至胸部大了近一個罩杯。臺中榮總乳房外科洪志強主任安排切片檢查確診為乳房葉狀瘤,因腫瘤已約9公分大且考量腫瘤周邊安全距離,右乳房須全切除。陳小姐說,當下腦筋空白,引以為傲的乳房須切除,切除後又意外發現懷孕,一想到孩子可能問「媽媽你的胸部為什麼跟別人不一樣!」讓她更確定重建決心。在整形外科呂俊德主任、婦女醫學部林俐伶醫師合作下,於懷孕8週時接受8小時的自體腹部皮瓣重建乳房手術,並順利於去年11月迎接兒子出生,開心投入育兒生活。 陳小姐說,由於目前健保未給付乳房重建,她很幸運獲外公、媽媽和丈夫支持進行手術,術後家人稱讚她的胸部與之前一樣,若不是有疤痕幾乎看不出來,讓她保有完整的身體意象(Body image),不留遺憾。她也提醒女性民眾每月自我檢查乳房的重要性,發現異狀即時就醫。 整形外科呂俊德主任指出,由於乳房篩檢及自我乳房檢查觀念普及,近年乳癌發生年齡有年輕化趨勢,加上女性自我意識抬頭,對於因病切除乳房後的重建需求增加。國際文獻研究顯示,重建乳房有助於病人提高自信心、降低焦慮的心理治療效果。臺中榮總整形外科統計,因病切除再重建乳房的病人從未滿24歲到71歲都有,2024年乳房重建手術達90例,比2020年成長近3倍,2025年可望達百例。 呂俊德解釋,傳統重建只有植入物義乳,近年來由於醫療技術進步,發展出利用自體組織移植來進行乳房重建,即利用自己的身體組織重建一個觸感較柔軟、外型較自然且可終身使用的乳房,但手術困難度較植入物重建來得複雜。兩者各有優缺點,如原本身材偏瘦者不適用自體脂肪重建;身材豐腴者則不建議以植入物重建義乳。不論採哪一種方式都需要醫師與病人充分溝通,根據個人病況和期望,決定重建的方式。 臺中榮總乳房外科洪志強主任表示,乳房葉狀瘤由乳房間質組織增生形成,與一般乳房惡性腫瘤是由乳腺管增生不同。發生原因不明確,但醫學普遍認為可能和荷爾蒙及基因突變有關,其生長速度快、少有疼痛感,因此病人大多經自我觸診發現,也可能因腫瘤牽扯表皮致外觀變形而發現。乳房葉狀瘤發生率低,西方統計數據顯示,約占女性乳房腫瘤0.3-1%,好發於40-50歲女性,然任何年齡的女性都可能罹患葉狀瘤。葉狀瘤經切片組織型態病理分類為良性(占所有葉狀瘤50%以上)、邊緣性(borderline)及惡性。標準治療方法是手術切除,不需要像一般乳癌般接受淋巴結切除、化學治療或放射線治療。陳小姐診斷為邊緣性葉狀瘤,因腫瘤大且為確保周邊組織安全距離,降低復發及轉移機率,故建議切除整個右乳房。 呂俊德醫師補充,陳小姐切除腫瘤後、在重建手術前意外發現懷孕,決定在初期孕期即進行重建手術,整形外科會診婦女醫學部協助評估,並密切追蹤病人和胎兒的狀況。婦女醫學部林俐伶醫師表示,陳小姐於孕中期發現子宮頸閉鎖不全情形,排除感染及其他早產症狀後,進行了緊急子宮頸環紮手術,也做足早產準備,隨後於34週早產,母胎平安。林俐伶醫師補充,目前文獻上僅有少數個案報告,皆無出現早產的情形,早產本身可能與陳小姐患有糖尿病等其他因素相關,也提醒了跨團隊的專業諮詢及共同照護的重要性。 陳小姐指出,原以為單純的乳房腫瘤治療,在寶寶意外報到下,變成治療、重建、生產等複雜狀況,還好臺中榮總團隊有乳房外科、整形外科、婦產科和新生兒醫療團隊全力照顧,讓自己無後顧之憂,不會顧此失彼,能治療乳房腫瘤、重建乳房,以完整的狀態生產迎接兒子,感謝醫療團隊。 臺中榮總整形外科、乳房外科、婦女醫學部團隊共同照護陳小姐(右2),在孕期切除右乳房葉狀瘤、重建並順利生子。 臺中榮總醫療團隊共同照護陳小姐於孕期切除乳房葉狀瘤、重建並順利產子,12月11日提前為她慶生。
COP30落幕後台灣首場重量級產業論壇 11 月 26 日在台北舉行,由《遠見雜誌》、ESG遠見共好圈與臺師大永續所共同主辦,邀集多位企業領袖、政府代表與學者回顧 COP30 議程脈動並分析全球氣候治理的最新方向。論壇指出,2025 年適逢《巴黎協定》十週年,巴西貝倫舉行的 COP30 強調自然為本解決方案、城市永續及 AI 技術在氣候治理的角色,其結果將影響未來十年國際產業競局。遠見社長楊瑪利表示,氣候議題已攸關企業存亡,《遠見》雖未親赴會場,仍在 COP30 前後發布逾 40 則專題報導,並透過共好圈串聯產官學界深化跨領域合作。 臺師大永續所特聘教授葉欣誠指出,COP30 的矛盾在於「方向有共識,但行動缺信心」。他認為氣候變遷已成所有永續議題的總根源,在生物多樣性、循環經濟到能源安全方面皆造成壓力。未來氣候治理的核心,在於提升社會與企業的「希望感」與「自我效能」,唯有相信行動能產生影響,政策與商業模式才可能真正轉型。 左起:《遠見雜誌》社長楊瑪利、環境部部長彭啓明、國立臺灣師範大學永續所特聘教授葉欣誠。(圖/遠見提供) 環境部部長彭啓明在論壇上表示,台灣雖非聯合國締約方,但在推動氣候行動上並不缺席,NDC 3.0 進度顯示 2024 年已較 2005 年減碳 6.7%,2025 年可望逼近 10%。面對 2035 年減碳 38±2% 的挑戰,環境部將強化國際交流,研擬設立「國際氣候合作辦公室」、擴大青年參與 COP,並深化與國際 NGO 的氣候夥伴關係。同時,他提到與巴拉圭在低碳技術與循環經濟上的合作具有潛力,也可依《巴黎協定》6.2 與 6.4 條展開碳市場合作。 企業領袖則從實務角度提出警訊與建言。KPMG 安侯永續董事總經理黃正忠指出,2024 年全球氣候災損高達 3680 億美元,但僅四成獲保險保障;氣候事件頻率與強度加劇,已使風險成本成為企業經營新變數。他提醒,COP30 未聚焦化石能源,而台灣作為高度仰賴石化產業的經濟體,更需加速轉型金融,結合 AI 技術與低碳策略才能確保國際競爭力。和碩董事長童子賢則直言,台灣乾淨能源占比僅約 17%,若扣除核能恐降至 8.9%,「是全球減碳的放牛班」。他呼籲以「核綠共存」作為務實解方,並加速交通電氣化;同時指出原住民地區在極端氣候下更加脆弱,政策應避免在高風險地區持續大規模開發。 國際氣候發展智庫(ICDI)執行長趙恭岳則從技術端剖析台灣優勢。他表示,聯合國推動「全球全民預警系統」,台灣在氣象資料、早期預警能力已具國際水準,未來在 AI 運算、數位孿生與氣候金融皆具全球領先機會。他認為今年並非氣候金融退潮,而是邁入「盤整期」,包括 NCQG 新一輪資金與第六條碳市場規則仍將推動產業投資。企業應回到治理本質,落實 TCFD 與 TNFD,以科技與數據提升風險韌性。綜觀全球局勢,KPMG 安侯永續執行副總林泉興補充,即使美國與歐洲面臨政治與戰事挑戰,兩地仍在逆風推動綠色與數位轉型。他認為 ESG 的新內涵將聚焦能源、安全與地緣政治,供應鏈企業必須理解轉型中的風險與機會,提前布局,才能在新一輪國際競賽中占據關鍵位置。
圖▲「2025 第一屆臺灣海事工程影響力論壇」於台南安平福爾摩沙飯店盛大舉行。(圖/主辦單位提供) 【記者張嘉誠/綜合報導】 在全球能源版圖重塑、海洋治理成為國家競爭力核心的此刻,由中華民國海事工程聯合促進會、高雄市海事工程商業同業公會、臺中市海事工程商業同業公會、臺灣風能協會共同主辦,並由英國在台辦事處(British Office Taipei)、歐洲在臺商務協會(ECCT)、比利時台北辦事處(Belgian Office Taipei) 協辦的 「2025 第一屆臺灣海事工程影響力論壇」 12月11日於台南安平福爾摩沙飯店盛大舉行。 論壇聚焦藍色政策發展韌性、治理透明度與公私協力等關鍵議題,吸引近 300 位政府代表、離岸風電與海事工程產業、國際組織及學術界專家齊聚一堂,共同勾勒臺灣邁向 「有能海洋國家(Competent Maritime Nation)」 的發展藍圖。 圖▲論壇聚焦藍色政策發展韌性、治理透明度與公私協力等關鍵議題,吸引近 300 位政府代表、離岸風電與海事工程產業、國際組織及學術界專家齊聚一堂。(圖/主辦單位提供 ) 三大主題拆解臺灣海洋發展新方向 中華民國海事工程聯合促進會理事長、台船環海(CDWE)董事長曾國正表示,臺灣具備海運與造艦實力,是在地緣政治下保持穩定的關鍵,而海事工程更是臺灣邁向先進海洋國家的重要拼圖。本次活動首次凝聚海事產業各公協會的力量,與會者皆是推動臺灣海洋國家願景的堅實後盾。 臺中市海事工程商業同業公會理事長、宏華營造總經理陳宗邦指出,臺灣深耕海事工程數十年,已具成熟基礎,在離岸風電帶動下快速吸收歐洲技術,若持續強化人才培育,臺灣有望成為亞洲離岸風電重鎮。 風能協會理事長吳盟分強調,港口、船隊、海事工程三大能量缺一不可,唯有持續向國外學習並透過年度論壇深化交流,臺灣才能全面提升海事能量,奠定海洋國家根基。 英國及比利時在台辦事處代表亦致詞指出,海事工程是海洋國家發展的關鍵產業。而活動東道主,也是台南市政府水利局邱局長也出席力挺,並強調台南長期重視海洋建設,歡迎國內外海事工程產業投資布局。 能源署亦指出,離岸和海上能源的發展是持續性目標,下一階段的案場開發,財務和技術面,包含工程技術是主要評估重點,而海事工程更是工程技術項目的重點評估項目。英國商業與貿易部亞太地區潔淨能源代表Richard Burd與歐洲商會代表黎森強調,政策的持續性和可預期,才能創造投資效益,建議相關發展應有一統籌部會獨立運作。 下午首場座談則由大川吉代表以及Seatrench總經理Jose Camacho,以及臺灣海洋能發展協會與 CDWE 分享海洋能源技術與離岸風電在地供應鏈的發展脈絡。建議加速推動示範案場的落地、技術驗證機制的建立,並強化跨部會整合,形成完整且具延展性的產業生態系。 最終場座談,聚焦臺灣邁向「有能(competent)海洋國家」所需的制度基礎,以及公私協力如何形成有效的治理與產業互動。國立高雄科技大學洪文玲教授指出一個合作前提的最關鍵元素,即是民眾生活往往和船舶以及海洋脫節,必須透過系統性的拉攏、遊說、教育並強調這是全民海洋教育,唯有如此,才有機會知道彼此的位置。 國際通商法律事務所合夥律師陳宜君認指出公私協力是一項長期多階段溝通的過程,需要多點換位思考。American Climate Club(ACC)副主席暨 APEC 執行長黎安國指出信任的關鍵,政府部門思考產業策略很容易存在「倖存者偏差」的偏誤,並不是一味看見建設好的地方,卻忽略了隱藏背後更多真正的問題,而產業要知道風險在哪裡,可被預期才能創造投資。 OEG 亞太區域總監吳國綸補充,臺灣離岸風電與海事工程正邁向成熟,若能強化政策延續性並建立穩定產業 pipeline,將有助促進運維本土化並提升本土廠商承攬大型工程的能力;同時透過完善特殊工程與船隊投入機制,可吸引企業長期投資、增強競爭力。 CDWE 船舶參訪:讓更多人貼近海洋,理解臺灣海洋政策的真正意義 此次論壇的另一個亮點為船舶參訪。「環海翡翠輪」是由台船公司所建造,CDWE所擁有之多功能大型海事工程船,為臺灣最先進、全球少數同級的海事工程船。具備高速航行、DP 定位、海上運維與安全作業能力,其誕生象徵臺灣離岸風電自主施工的重要里程碑。 此次論壇三場座談從 產業、技術到治理制度層層推進,逐步勾勒出臺灣邁向海洋國家的完整行動藍圖。海洋是臺灣的未來,唯有讓全民理解海事工程的潛能、才能貼近海洋,臺灣才能真正成為具備韌性與國際連結能力的海洋國家。
▲煙波日出冷泉燒酒點燃60oz 澳洲巧克力和牛戰斧,展現全台獨家的雙焰炙燒儀式。圖/煙波國際觀光集團提供 【亞太新聞網/記者蔣彤雲/新竹報導】 煙波國際觀光集團旗下新竹湖濱館迎接歲末年終聖誕跨年餐飲旺季,「莫內饗宴」自助餐廳推出全新升級版全明星草莓節,即日起至2026年3月31日,期間主打以冷泉燒酒與高粱雙焰炙燒的60盎司巧克力和牛戰斧,結合七大主題餐檯與22道創意草莓料理,並攜手兩位冠軍甜點師聯名打造視覺系紅睡蓮帕菲杯以豪華規格與話題性,搶攻高端饕客市場。 ▲鮨影:「草莓干貝莎莎最中餅」以清爽草莓酸韻結合海味,創作出日式精緻風格的細膩前菜。圖/煙波國際觀光集團提供 新竹湖濱館「莫內饗宴」打造感官頂級饗宴,採用百年澳洲牧場巧克力和牛以冷泉雙焰炙燒呈現桌邊華麗酒焰秀,亮點為60盎司厚切、長達40公分的澳洲Mayura Station全血巧克力和牛戰斧,澳洲牧場位於南澳石灰岩海岸,以可可豆與穀物飼養達36個月,肉質細膩如絲,油花滑順香甜。煙波更首創以「煙波日出冷泉燒酒」搭配高粱酒雙焰桌邊炙燒,橘紅火焰瞬間封存肉汁,酒韻與和牛油脂交織出多層次香氣,並佐以小農草莓提升尾韻清爽感,每日限量供應。 綠宴:「兵庫螢烏賊草莓沙拉」以海味清甜與莓果香氣組成對比,展現自然輕盈的季節感。圖/煙波國際觀光集團提供 莫內饗宴自助餐廳以「莫內畫風」為靈感,草莓創意料理全面鋪展於七大主題餐檯,法日韓風一次到位,從【潮韻】以草莓風味巴薩米克醋膏搭松葉蟹的開場前奏,到【鮨影】草莓干貝莎莎最中餅與拉斯帕起司莓映壽司的和風交融;【綠宴】的兵庫螢烏賊草莓沙拉與起司雪花草莓可頌,酥脆可頌夾入輕盈如雪起司與新鮮草莓,展現冬季法式自然。【炙曦】的爐烤香草豬肋排佐草莓多蜜醬、炙烤乳酪草莓干邑松阪豬;再到【炙境】的草莓松露火腿牛肝菌麻花捲麵與莓果陳酒韓式炸雞,【酌光】草莓栗香蒙布朗與草莓晨露銀耳、【瑰彩】草莓花園法式塔、草莓雲朵奶酪、草莓玫瑰旅人蛋糕、草莓生乳捲及草莓大福等七款草莓甜點,場場皆驚艷,款款皆打卡焦點。 甜點壓軸為兩位台灣之光甜點冠軍聯名,Brillante Pâtisserie主廚陳星緯為法國土爾巧克力大師賽冠軍與Double V主廚陳謙璿冰淇淋達人創意賽冠軍跨界合作,以印象派名作《紅睡蓮》為靈感,打造「紅睡蓮莓果帕菲杯」,融合草莓晶凍、佛手柑草莓冰淇淋與香緹,堆疊出層層光影結構,極具藝術張力。 煙波集團表示,為讓品牌深化增添季節儀式感,並強化高端市場記憶點,特別以冬季最受大眾歡迎草莓與和牛兩大關鍵字創造目的型消費場景,成功將餐飲體驗從味覺延伸至視覺與社群記憶點,未來將持續深化「品味生活、共好旅程」的品牌理念,讓餐桌成為旅行中最深刻的風景。
來貓裏–114年文化體驗教育計畫北區縣市成果展 夢想起航 【記者蔡富丞/綜合報導】文化部8年來持續推動文化體驗教育計畫,並由國立新竹生活美學館負責北臺灣九縣市藝師團體入校教學,迄今已扶植231個藝師團隊受惠394所媒合學校與近16,000名學生。「114-115年文化體驗教育計畫」從84件申請件中,評選出的15個優質藝師團體,由北區研發中心輔導培訓,透過專業研習、六大領域輔導員的陪伴指導下,強化15個藝師團隊的專業教學能力,使其成為具備教學專長的文化藝術家。國立新竹生活美學館12月9日上午在苗栗縣(舊名貓裏)永貞國小的合作協辦下,於永貞國小活動中心3樓,辦理北區文化體驗教育成果分享交流暨徵件說明會。 來貓裏–114年文化體驗教育計畫北區縣市成果展 夢想起航 現場聚集了多位關心藝術教育及文化體驗的人士,包括:鄭正鈐立委辦公室蔡進龍副主任、苗栗縣教育處莊夏萍課程督學、苗栗縣六合國小劉敏珍校長、苗栗縣汶水國小陳若蘭校長、苗栗縣永貞國小鍾瑞蓉校長、苗栗縣文山國小王淑美校長、苗栗縣同光國小李鴻明校長、苗栗縣頂埔國小徐慶宏校長、苗栗縣新興國小王裕發校長、苗栗縣景山國小陳玫杏校長、計畫主持人曾仰賢教授、輔導員葉敏芳老師,還有許多藝師藝團齊聚一堂,並一起參觀114年北區15個藝師團體的文化體驗成果。 來貓裏–114年文化體驗教育計畫北區縣市成果展 夢想起航 國立新竹生活美學館葉于正館長表示:「在北區研發中心專業輔導團的陪伴指導與協助下,我們期望提升藝師團隊進入學校教學與教案設計的能力,使其課程更貼合學校的教學目標,同時為學生提供多元的文化藝術體驗,並豐富校園特色課程的發展。透過學校與藝師團體的跨域合作,將藝術文化資源引入校園,擴展中小學師生的學習視野與探索的深度與廣度。」 首次在古稱「貓裏」的苗栗縣舉行成果發表,希望來到苗栗文化體驗夢想啟航。現場展現114-115年的成果分享,除了包括今年15個團隊進入35所高中、國中小學的教學成果,並邀請今年執行北區文化體驗教育的2個藝師團隊:中華民國法語教師協會、米口好日文化工作室擔任分享交流單位。同時,也邀請苗栗縣四所國小184位師生一起體驗文化藝術課程,包括:「跟著種子去旅行」體驗一頁摺摺書、「構樹皮文化體驗」製作精美的樹皮杯墊、「活版字印刷~印刷體驗」體驗活版印刷、以及「馬賽克琺瑯瓷工藝手作」創作可愛琺瑯吊飾。 現場透過「小市集大體驗」活動,可以讓與會的各校師生們實際參與手作,擴大文化教育推廣資源的散播,增進更多學校在未來與藝師團隊合作媒合;此外,當天亦辦理115年文化體驗教育計畫徵件說明會,由計畫主持人曾仰賢博士介紹如何擬訂課程主題、撰寫課程設計流程與內容進行分享;國立新竹生活美學館則說明115年徵件重點及注意事項,提供有興趣提案115年文化體驗教育計畫的團隊,更了解計畫撰寫技巧。